reklam
Gazete Kritik Sağlık Baş ağrısıyla hastaneye gitti, röntgen sonuçları şok etti

Baş ağrısıyla hastaneye gitti, röntgen sonuçları şok etti

Washington Post’un dünyanın sayılı tıp dergilerinden BMJ’ye dayandırdığı haber İrlanda’da geçiyor. İsmi açıklanmayan 84 yaşındaki bir adamın baş ağrısı şikayetiyle hastaneye gitmesi sonrasında doktorlar rutin kontrolleri yaptı ve adamın röntgeninin çekilmesini istedi.

Washington Post’un dünyanın sayılı tıp dergilerinden BMJ’ye dayandırdığı haber İrlanda’da geçiyor. İsmi açıklanmayan 84 yaşındaki bir adamın baş ağrısı şikayetiyle hastaneye gitmesi sonrasında doktorlar rutin kontrolleri yaptı ve adamın röntgeninin çekilmesini istedi. Baş ağrısının yanı sıra sol tarafında bir ağrı ve yürümede sıkıntı yaşayan hastanın röntgeni kısa sürede çekildi.

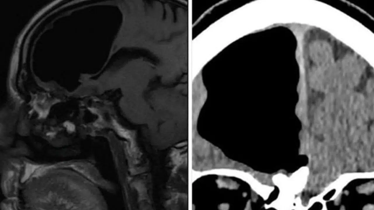
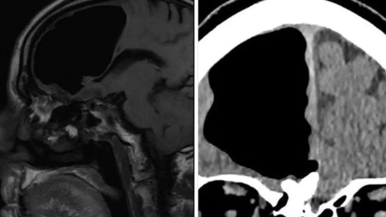
Fakat doktorlar röntgeni inceledikten sonra tıp tarihinde eşi benzerine çok zor rastlanan bir sonuçla karşılaştı. Doktorlar, 84 yaşındaki hastanın beyninin sol tarafının olmadığını fark etti. Hayatı boyunca sigara içmeyen ve nadiren alkol alan adamda görüş bozukluğu, konuşma ya da görsel rahatsızlıkları olmadığını açıklayan doktorlar, “O günlük fiziksel aktivitelerini aksatmadan yapan, sağlıklı bir haldeydi. Fakat yapılan testler sonucunda biz de çok şaşırdık” ifadesini kullandı.

MR ve CT sonuçlarına bakan doktorlar, adamın beyninin ön sağ lobunda yaklaşık 9 santimetrelik bir boşluk vardı. Adamın beynindeki bu boşluğun yerine hava olduğunu söyleyen yetkililer, “Genellikle bir beyin ameliyatı sonrasında hava basıncının değişmesi dolayısıyla bu tür sıkıntılar yaşanabilir” dedi. Washington Post’a konuşan doktorlarda Finlay Brown, “Araştırmamı yaparken, bu durumun bir benzerine rastlamadım. Bu rahatsızlığa sebep olan şeyin burnunu çekmek, hapşırmak ve öksürmek olduğu biliniyor. Bunlar her yapıldığında insanın kafasına belli miktarda hava depolanır” dedi.

Doktorlar, bu rahatsızlığın çözümü için ameliyat yapılabileceğini dile getirdi.

Yorumlar
* Bu içerik ile ilgili yorum yok, ilk yorumu siz yazın, tartışalım *